Дата: 25 апреля 2026

Время: 10:00 – 18:00

Формат: ОЧНЫЙ

Лектор:

Короленкова Мария Владимировна

д.м.н., врач-стоматолог детский

СЕМИНАР пороки развития зубов в практике детского стоматолога

Клинический разбор диагностики и ведения пациентов

кнопка 1 ЗАПИСЬ на курс

О семинаре

Когда диагноз

определяет всё !

подложка текста шестеренка

Пороки развития зубов встречаются в практике детского стоматолога гораздо чаще, чем кажется. Но одни и те же дефекты могут иметь разную природу, а лечение требует междисциплинарного подхода. Этот семинар систематизирует знания о пороках развития зубов и помогает выстроить

понятную клиническую логику диагностики и лечения.

Для кого этот семинар?

Этот семинар
для вас, если :

буллит 1

Вы детский стоматолог или врач общей практики, который работает с детьми —

и периодически сталкивается с дефектами, где непонятно: это флюороз, молярно-резцовая гипоминерализация (MIH) или несовершенный амелогенез? И что с этим делать дальше?

буллит 2

Вы ортодонт, у которого в работе дети с аномалиями числа и формы зубов —

и вопрос не только в перемещении, но и в том, как вообще строить план лечения с такими зубами.

буллит 3

Вы чувствуете, что знания по порокам развития фрагментарны:

отдельные случаи разбирали, но системной логики нет — и каждый новый пациент снова ставит под вопрос тактику.

Формат обучения

Однодневный интенсив .

Продолжительность :

10:00 – 18:00

ФОРМАТ:

буллит 4

структурированная лекция

буллит 5

клинические разборы

буллит 6

обсуждение тактики лечения

Курс ориентирован

на практическое применение знаний в ежедневной работе.

Что вы получите?

После семинара
вы сможете :

буллит 8

Поставить диагноз по клиническим признакам.

Дифференцировать флюороз, молярно-резцовую гипоминерализацию (MIH) и несовершенный амелогенез — с пониманием природы каждого состояния и его границ.

буллит 9

Понять происхождение дефекта и использовать это в планировании.

Знание эмбриогенеза и этиологии определяет прогноз и выбор тактики — особенно в сочетанных и нетипичных случаях.

буллит 10

Диагностировать dens invaginatus и выбрать тактику эндодонтического лечения в зависимости от степени инвагинации.

Классифицировать случай и принять обоснованное клиническое решение до начала лечения.

буллит 11

Выстроить план лечения при аномалиях числа и формы зубов.

Олигодентия, сверхкомплектные зубы, шиловидные резцы, геминация — клиническая логика для каждого состояния.

буллит 12

Работать с тканями с нарушенной минерализацией.

Адгезия к гипоминерализованной эмали и измененному дентину, выбор между прямой и непрямой реставрацией — с клиническим обоснованием.

буллит 13

Определить показания к подростковому протезированию.

Аргументированно оценить сроки и тактику при пороках развития как показании к протезированию.

Подробности

Программа курса :

Эмбриогенез зубов: почему порок формируется именно так.

Нормальное развитие зубов и механизмы нарушений — основа для понимания любого клинического случая.

Олигодентия, адентия, сверхкомплектные зубы: диагностика и план лечения.

Основные состояния, сопровождающиеся нарушением числа зубов. Наиболее частые локализации сверхкомплектных зубов. Последствия олигодентии и сверхкомплектных зубов.

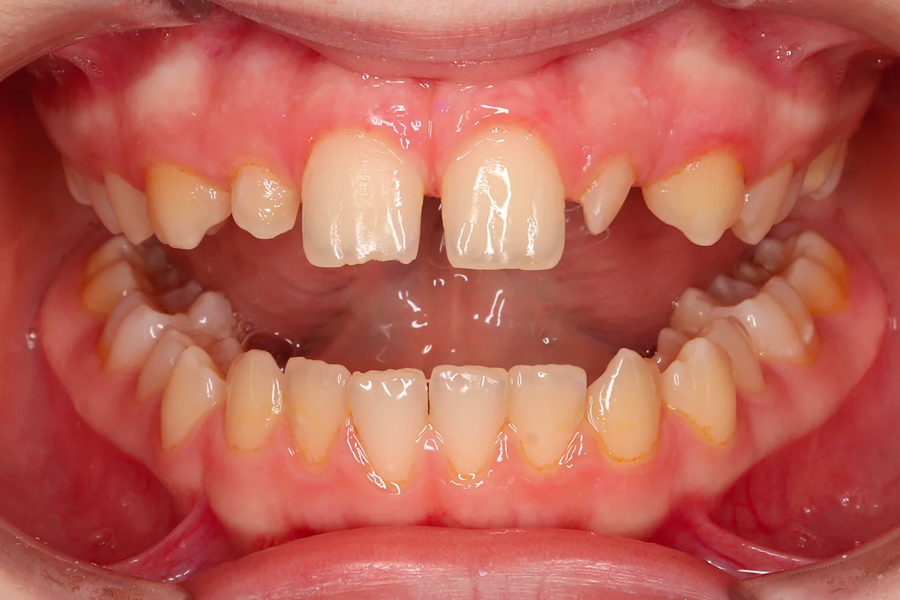
Аномалии формы: от шиловидного резца до секторальной одонтоклазии.

Микродентия, макродентия, синодонтия, геминация — диагностика и тактика лечения. Сочетанные случаи. Показания к подростковому протезированию при микродентии.

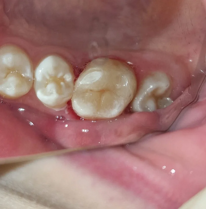
Зуб в зубе (dens invaginatus): диагностика и тактика лечения

Механизм формирования инвагинации. Клинические проявления и рентгенологическая картина. Риски осложнений и алгоритм принятия решения о лечении. Особенности эндодонтического лечения при разных степенях инвагинации.

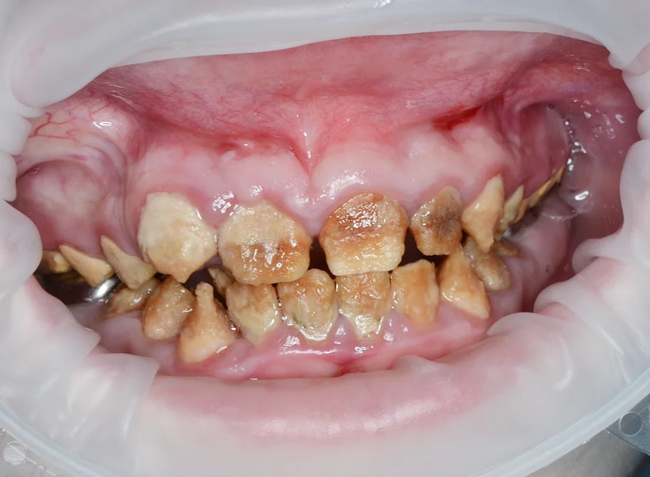
Пороки твёрдых тканей: дифференциальная диагностика

Молярно-резцовая гипоминерализация (MIH), флюороз, несовершенный амелогенез, дисплазии дентина — клинические признаки каждого состояния и границы между ними. Классификация Wuerzburg 2.0. Дисплазии дентина: от облитерации пульповой камеры до «зубов-призраков».

Реставрация зубов с пороками твердых тканей: адгезия, материалы, протокол.

Особенности адгезии к гипоминерализованной эмали и изменённому дентину. Критерии выбора между прямой и непрямой реставрацией.

кнопка 2 ЗАПИСЬ на курс

Спикер

Короленкова
Мария
Владимировна

спикер

Видео

Доктор медицинских наук, детский врач-стоматолог

  • спикер международного уровня
  • эксперт в области детской стоматологии
  • клинический опыт работы с пороками развития зубов
  • преподавательская и научная деятельность
  • автор более 100 научных работ и книг

В основе программы — клиническая система, которую Мария Владимировна выстраивала в ежедневной практике: от диагностики молярно-резцовой гипоминерализации (MIH) и несовершенного амелогенеза до работы с реставрацией зубов с пороками твердых тканей. Образовательный семинар построен на междисциплинарном подходе: детская стоматология, хирургия, ортодонтия и ортопедия рассматриваются как единая система принятия клинических решений.

Что еще?

Особенности семинара :

системный подход к диагностике

разбор сложных клинических ситуаций

акцент на практическое применение

актуальные классификации и протоколы

Стоимость

СТОИМОСТЬ УЧАСТИЯ :

12 000

Часто задаваемые вопросы

FAQ? :

буллит

Подойдёт ли курс начинающим врачам?

Да, при наличии базовой клинической практики. Курс будет полезен как начинающим детским стоматологам, так и врачам с опытом, которые хотят систематизировать знания.

буллит

Нужна ли специализация именно в детской стоматологии?

Желательна, но не обязательна. Курс будет полезен также ортодонтам и врачам общей практики, работающим с детскими пациентами.

буллит

Будут ли клинические примеры?

Да. В рамках курса разбираются реальные клинические ситуации, что позволяет лучше понять диагностику и выбор тактики лечения.

буллит

Будут ли рассматриваться редкие случаи?

Да. Курс охватывает как распространенные, так и более сложные и редкие пороки развития зубов, включая синдромные формы.

буллит

Будут ли разбираться методы лечения?

Да. Особое внимание уделяется выбору тактики лечения.

буллит

Можно ли задавать вопросы во время курса?

Да. Формат предполагает возможность задавать вопросы и обсуждать клинические ситуации.

буллит

Будет ли выдан сертификат?

Да, по итогам курса выдается сертификат участия.

буллит

Сколько длится курс?

Курс проходит в течение одного дня — с 10:00 до 18:00

буллит

Нужно ли что-то готовить заранее?

Нет, специальная подготовка не требуется. Достаточно базовых знаний и клинической практики.

буллит

Есть ли ограничение по количеству участников?

Да, количество мест ограничено, чтобы сохранить комфортный формат обучения и возможность взаимодействия со спикером.